Malayziya sakini Pratab Muniandi qeyri-adi bir xüsusiyyəti ilə diqqəti cəlb edib - onun ağzında rekord sayda diş var.
Lent.az xarici mediaya istinadən xbər verir ki, Ginnesin Rekordlar Kitabına görə, kişinin 42 dişi var ki, bu da orta statistik insandan on diş çoxdur və bu da ona kişilər arasında ən çox dişə görə dünya rekordu müəyyənləşdirməyə imkan verir.
Neft və qaz sənayesində çalışan və oğlunu böyüdən 33 yaşlı mühəndis deyir ki, uzun müddət öz xüsusiyyətindən belə xəbərsiz olub. İlk dəfə 2021-ci ildə ailəvi çay süfrəsi zamanı ona diqqət çəkib.
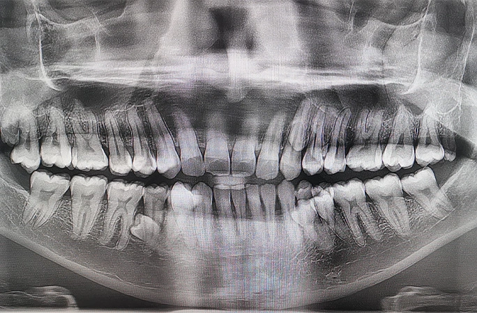
Pratabın sözlərinə görə, o zaman ailəsi ilə zarafat edib ki, əlavə dişləri var. Birlikdə onları saymağa qərar veriblər və 38-ni müəyyən ediblər. Sonradan rentgen müayinəsi çənədə o vaxt çıxmamış daha dörd dişin olduğunu göstərib.
2023-cü ilin əvvəlində, diş müayinəsindən sonra kişinin ümumi diş sayının rəsmi olaraq 42 olduğu təsdiqlənib. Üstəlik, həkimlərin sözlərinə görə, onların əksəriyyəti bərabər böyüyür və heç bir ağırlaşma yaratmır.
Rekord sahibi özü qeyd edir ki, bir çox insan onun xüsusiyyətini özü qeyd edənə qədər belə fərq etmir.
"İnsanlar adətən çox təəccüblənirlər və əvvəlcə buna inanmırlar, xüsusən də 32 dişi olan orta yaşlı insandan on diş çox olduğumu biləndə", - o bildirib.
Bu qeyri-adi anatomik xüsusiyyətə baxmayaraq, əlavə dişlər onun üçün heç bir problem yaratmır. Eyni zamanda, o, ağız baxımına da diqqət yetirir: gündə iki dəfə dişlərini fırçalayır və müntəzəm olaraq diş ipi ilə təmizləyir.
Pratab öz nailiyyəti ilə fəxr etdiyini etiraf edir və bunu xüsusi bir təcrübə adlandırır.
"Ən çox dişə görə dünya rekorduna sahib olduğunuzu bilmək inanılmaz bir hissdir", - o, diş sağlamlığının qorunmasında göstərdikləri dəstəyə və köməyə görə stomatoloqlarına təşəkkür edərək bildirib.
Bu arada, qadınlar arasında rekord 38 dişi olan Hindistandan olan Kalpani Balana məxsusdur.
diş 42 dişli kişi



